...

Dr. Gustavo Miguel Peripolli

Dentista

Rondonópolis
Marcar uma visita Entre em contato

Informações sobre mim

Poucas palavras...
Cirurgião Dentista especialista em Implantes dentários, com o foco em aliar saúde e estética dentária. Atendimento particular e personalizado, em um ambiente totalmente planejado e equipado especialmente para oferecer todo o conforto, bem estar e os melhores tratamentos aos pacientes.
Atendimento diferenciado através de uma sequência de consultas, que abrange um exame clínico detalhado, entrevista sobre a saúde geral e expectativas do paciente e plano de tratamento completo.
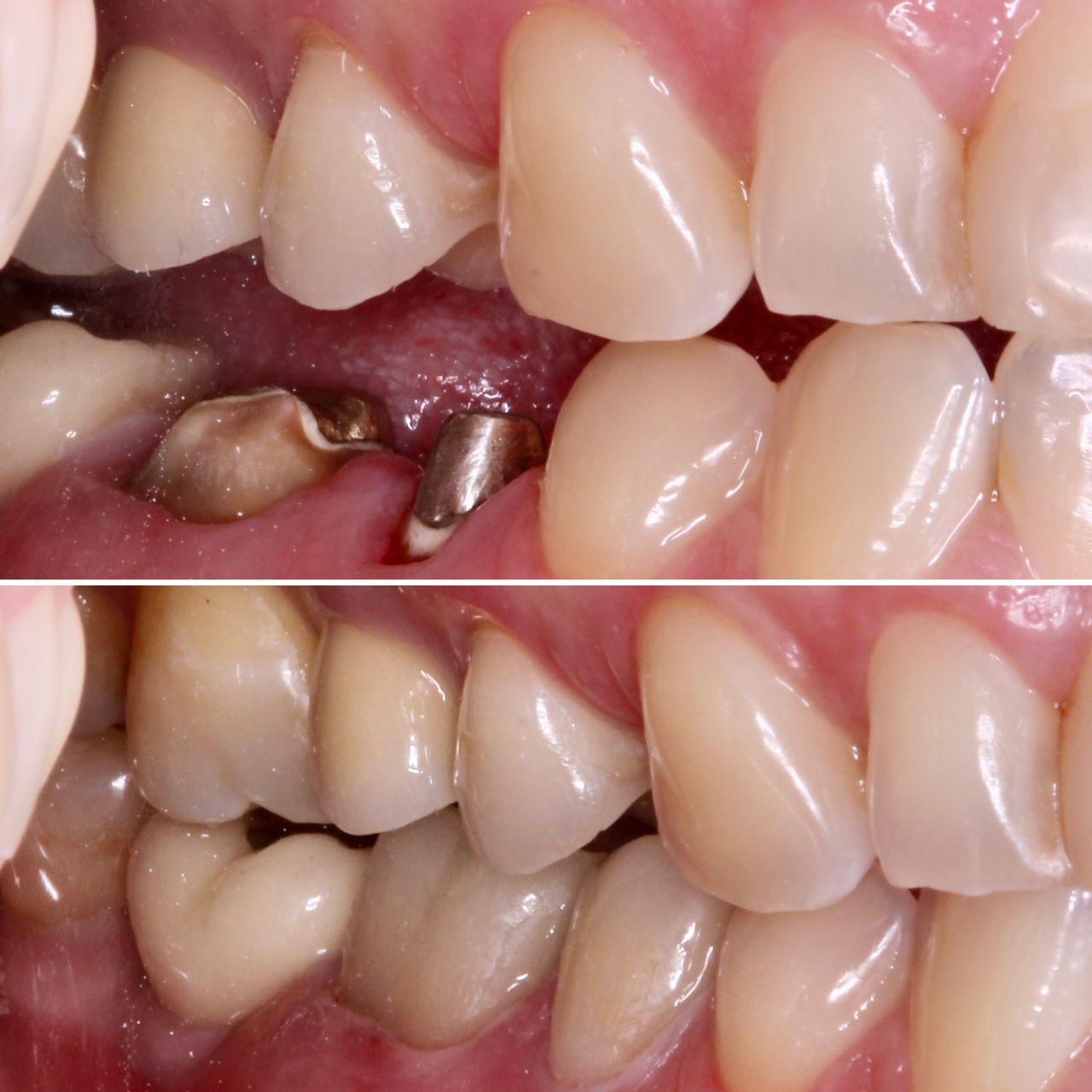
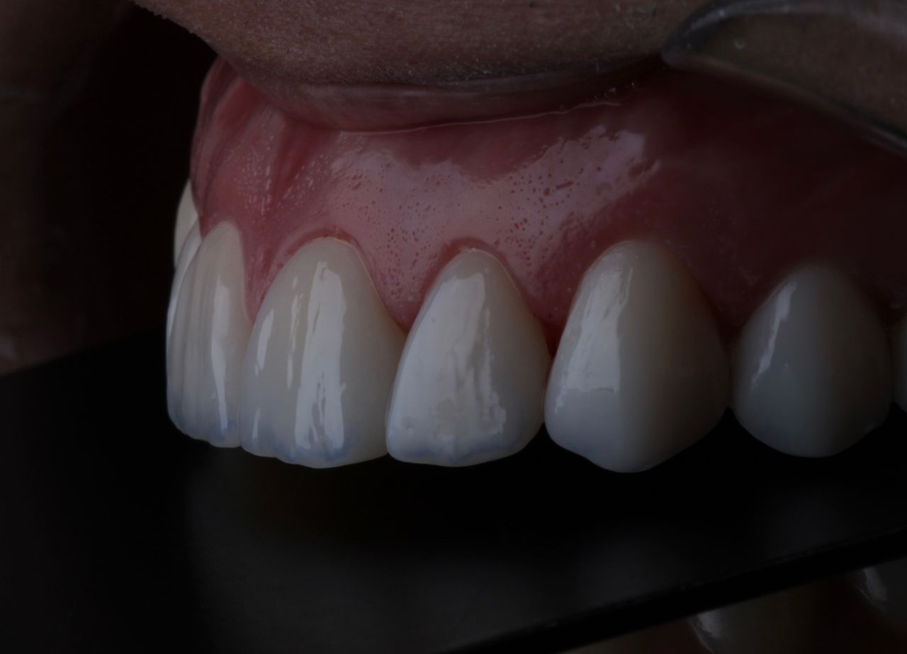
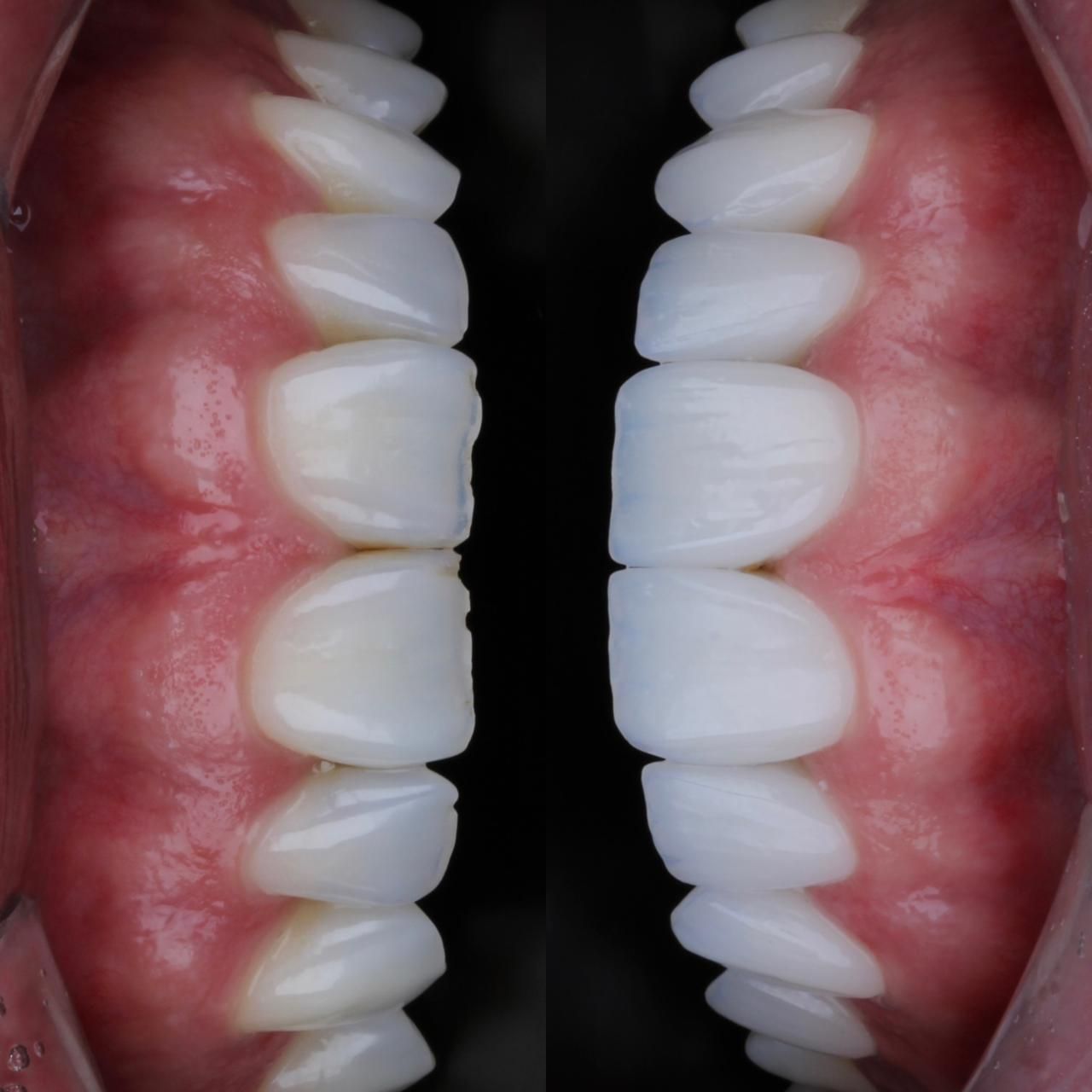
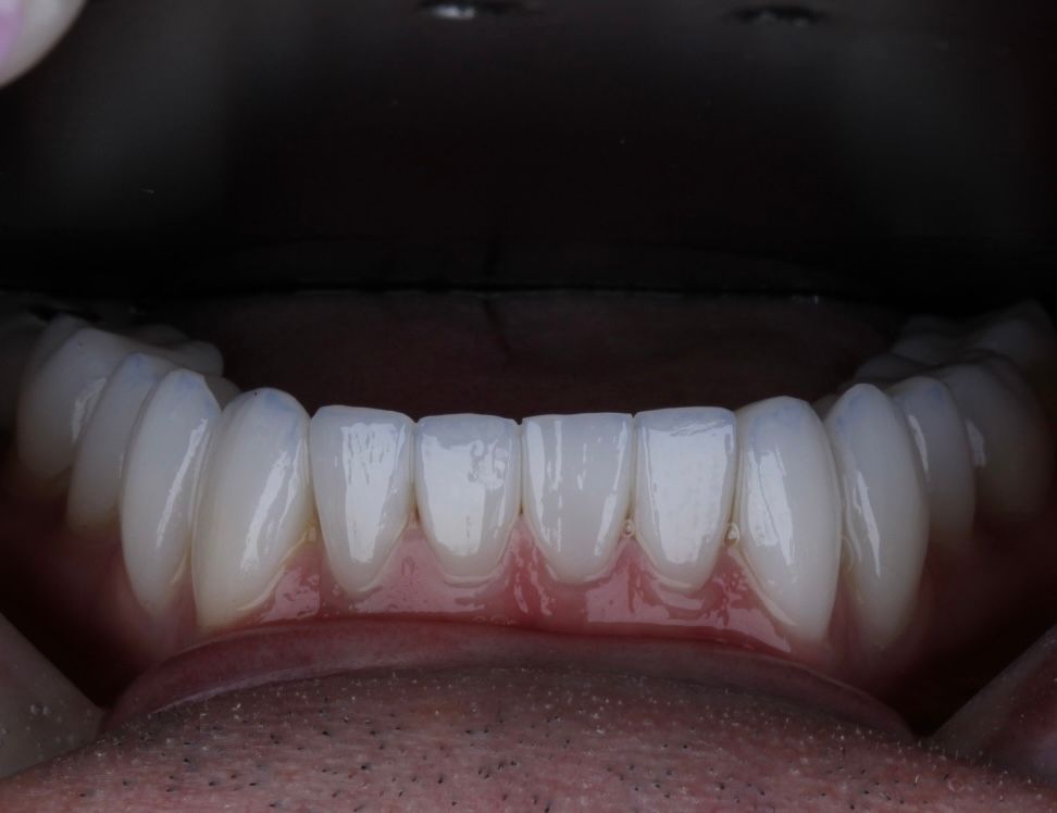
Realização de atendimentos multidisciplinares como implantes, próteses, profilaxia, clareamentos, lentes de contato, facetas de porcelana, placa de bruxismo, manutenção periódica preventiva, entre outros.
Em nosso consultório cada paciente é único, tratado de forma exclusiva, individual e humanizada com total zelo, carinho e atenção.
Especialidades
  • Implantodontia
  • Prótese Dentária
  • Odontologia Estética
  • Clareamento Dental
Número de registro
  • 6582/MT
Formação
  • Universidade Federal de Santa Maria
  • ABO Mato Grosso
Idiomas
  • Português
Certificados
Doenças tratadas
  • Sensibilidade dentária
  • Mau hálito
  • Cárie dentária
  • Halitose
  • Diastema
  • Perda De Dente
Redes sociais

Marcar uma visita

Espaço Prisma Odontologia

Avenida Padre Anchieta 1273
78740031 Rondonópolis, Mato Grosso MT
Ligar ao especialista

Selecionar a data conveniente e marcar uma consulta!

Preço

Clareamento dental individualmente
Restauração dental individualmente
Prótese sobre implantes individualmente
Colocação de prótese dentária (moldagem) individualmente
Tratamento de canal individualmente
Protese de Porcelana individualmente
Implantes dentários individualmente
Lente de contato dental individualmente
Coroas em cerâmica individualmente
Facetas de porcelana individualmente
Primeira consulta Odontológica individualmente
Consulta Dentista individualmente

Opiniões dos pacientes

Ótimo atendimento, explica com clareza, excelente profissional!
Paciente
Paciente
Atendimento realizado com sucesso! Sem mais palavras
Paciente
Paciente
Gentil, atencioso, ambiente bem climatizado e cheiroso. Lugar aconchegante. Ótima explicação e bom profissionalismo.
Paciente
Paciente
Excelente profissional indico de olhos fechados nota 1000 mil
Paciente
Paciente
Excelente profissional, ótimo atendimento e ambiente agradável.
Paciente
Paciente
Atendimento rápido e objetivo. Sai com tudo resolvido.
Paciente
Paciente
Atendimento de excelência desde da recepção ao atendimento com Dr.
Paciente
Paciente
​"Minha experiência na clínica foi excelente do início ao fim. E um ambiente acolhedor.Gostaria de destacar o atendimento do Dr. Gustavo que demonstrou muita técnica e paciência ao tirar todas as minhas dúvidas sobre meu caso.
Paciente
Paciente
Excelentes tudo perfeito!!! Me atendeu na hora que mais precisei ótimos profissionais.
Paciente
Paciente
Morria de medo de fazer canal e quando descobri que precisaria fazê-lo, fiquei muito preocupada. Para minha surpresa, o procedimento foi super tranquilo! Por ser um procedimento complexo, é mais demorado, mas não senti dor alguma e a recuperação foi ótima. O consultório é super bem equipado e os profissionais super competentes! Confio de olhos fechados.
Paciente
Paciente
Fui bem atendida, tive minhas duvidas sanadas. Dr Gustavo é carismático.
Paciente
Paciente
Iniciando o tratamento e com excelência no atendimento
Paciente
Paciente
Gostei bastante do atendimento, consultório bem organizado!
Paciente
Paciente
Atendimento pontual e com excelência com certeza indicarei para os amigos.
Paciente
Paciente
Super recomendado toda minha família faz acompanhamento e tratamento com ele
Paciente
Paciente
Confiança no profissional e bom atendimento. Super indico.
Paciente
Paciente
Excelente profissional a clinica é maravilhosa Fantastica Atendimento de qualidade e respeito ao paciente
Paciente
Paciente
Excelente atendimento detalhista e excelente explicação do orçamento
Paciente
Paciente
Excelente profissional, ótimo atendimento, responsabilidade.
Paciente
Paciente
Muito atencioso e com muita tecnologia o consultório
Paciente
Paciente
Ótimo profissional , capacitado e responsável com o que faz , cuida da minha saúde bucal a anos , super recomendo !
Paciente
Paciente
Dr Gustavo Gente Buena gauderio de Santa Maria Prestativo Atendimento sério sem enrolação Sabe o que tá fazendo Seus procedimentos são praticamente sem dor Pelo menos tenta fazer o possível pra naon ter muita dor Excelente profissional Dele e da sua equipe Da.sua assistente Também na recepção Atendimento ótimo Parabéns
Paciente
Paciente
Profissional qualificado muito atencioso com esperiencia
Paciente
Paciente
Excelente profissional.Clinica agradável e boa localização.Funcionários educados e atenciosos.
Paciente
Paciente
Ótima experiência! Foi a melhor experiência com dentista que já tivemos e muita tecnologia dentro do consultório!
Paciente
Paciente
Irei começar o tratamento ! Mas por enquanto nada reclamar ! Pontual , explica bem e cobrou um valor justo
Paciente
Paciente
Fui muito bem atendida desde a recepção até a consulta
Paciente
Paciente
Excelente atendimento, ambiente agradável, trabalho com eficácia, responsável no que faz
Paciente
Paciente
Atendimento justo e perfeito, consultório impecável
Paciente
Paciente
Excelente profissional! Atencioso, explica cada procedimento detalhadamente, equipamentos modernos…Super indico!
Paciente
Paciente
Gostei muito obrigada pelo atendimento Clínica bonita
Paciente
Paciente
Excelente profissional ótimo atendimento passa segurança em seu trabalho
Paciente
Paciente
Gostei do atendimento muito tratável com a gente tá de parabéns
Paciente
Paciente
Somente gratidão, Dr. GUSTAVO e sua equipe são maravilhosos, estou recebendo 100% de cuidados no meu tratamento, tudo bem explicado! Nota 1000 pra essa equipe! Obrigada!
Paciente
Paciente
Então de parabéns , tanto com atendimento quando um consultório agradável
Paciente
Paciente
Como sempre sempre um atendimento maravilhoso profissional excelente
Paciente
Paciente
Sou cliente há mais de 6 anos e acompanho a evolução. Nada a reclamar, tudo de primeira qualidade.
Paciente
Paciente
Bom consulta, atendimento nota 10 super recomendo...
Paciente
Paciente
Excelente atendimento e eficácia no tratamento, com custo benefício.
Paciente
Paciente
Realizo acompanhamento com o Dr Gustavo há anos pela confiança em seu profissionalismo. Clínica aconchegante, atendimento pontual e atencioso.
Paciente
Paciente
Exelente atendimento. Rapido e preciso,, ambiente acolhedor.
Paciente
Paciente
Bgd doutor Gustavo pelo ótimo atendimento , que Deus conserve sua vida assim
Paciente
Paciente
Todas as duas vezes que precisei fui bem atendido.
Paciente
Paciente
Ganhou uma cliente na odontologia, e com toda certeza terá indicações minhas!
Paciente
Paciente
Qualidade bom atendimento e pontualidade nos horários
Paciente
Paciente
Muito bom atendimento, equipamentos modernos e trabalho em dupla
Paciente
Paciente
Super profissional, recomendo a consulta com toda a equipe.
Paciente
Paciente
Estou muito satisfeita com o tratamento, que estou fazendo, era um sonho, fazer os meus implantes, eu tinha perdido alguns dentes e isso me incomoda muito, e procurei o dr Gustavo e ele me passou segurança no tratamento, pois eu tinha muito medo de fazer implantes, mas ele é super profissional e me trouxe segurança e já estou finalizando o meu tratamento e estou muito feliz
Paciente
Paciente
ótimo atendimento e serviço prestado com excelência.
Paciente
Paciente
Fui por indicação, resultado da pessoa que indicou foi excelente, ótimo atendimento.
Paciente
Paciente
Estou muito satisfeita com o Espaço Prisma Odontologia. Os atendimentos da xxxx (para minha filha) e do dr. Gustavo (para mim) são impecáveis! Super recomendo!
Paciente
Paciente
Estou muito satisfeita com o trabalho, muito cuidadoso e preocupado com o bem-estar do paciente, sempre perguntando se está tudo bem.
Paciente
Paciente
Excelente ótimo consultório atendimento pra mim é minha familia
Paciente
Paciente
Ótimo atendimento de toda equipe. Recomendo para novos pacientes.
Paciente
Paciente
Simplesmente maravilhoso o consultório, os colaboradores, o profissional.
Paciente
Paciente
Excelente profissional. Muito atencioso e paciente. Consultório espetacular e um trabalho impecável!!
Paciente
Paciente
Clínica e aparelhos modernos, dentista excelente, recomendo
Paciente
Paciente
Ótimo profissional, excelente atendimento,indico muito e com certeza voltarei sempre que precisar
Paciente
Paciente
Clínica com ambiente aconchegante, e profissionais com excelente atendimento. Super recomendo.
Paciente
Paciente
Ótimo atendimento, atencioso, calmo e detalhista.
Paciente
Paciente
Atendimento e eficácia do tratamento realizado com excelência.
Paciente
Paciente
Ótimo atendimento consultório bonito e confortável e sempre no horário marcado
Paciente
Paciente
O consultório possui equipamentos modernos para ser mais assertivo, eficiente e eficaz. Não há tempo em espera e nem delongas aos retornos.
Paciente
Paciente
Atendimento perfeito profissional excelente cuidado com os pacientes estão de parabéns
Paciente
Paciente
Gostei do atendimento e a eficácia do tratamento. Espaço elegante e moderno.
Paciente
Paciente
Otimo Atendimento e bom profissional. Atendeu minhas expectativas.
Paciente
Paciente
Ótimo profissional, ótimo consultório e equipamentos
Paciente
Paciente
Pontualidade Ambiente agradável Eficácia Formas de pagamento acessível
Paciente
Paciente
Horário correto, prestativo, ótimas instalações e uso dos materiais
Paciente
Paciente
Gustavo é muito atencioso e pontual, explicou cada passo que dava durante a execução do procedimento, um querido. No dia seguinte precisei fazer ajustes e conseguiram um horário a tarde, tamanha eficiência.
Paciente
Paciente
Dr. Gustavo é um excelente profissional, além do consultório ser moderno e acolhedor, o atendimento é impecável desde a recepção. Recomendo a todos que procuram por tratamento dentário humanizado e de excelência.
Paciente
Paciente
Clínica aconchegante e bonita. Tratamento rápido e eficaz.
Paciente
Paciente
Excelente atendimento e profissionais. O consultório é ótimo.
Paciente
Paciente
Fui muito bem atendida, desde a recepção até o Dr Gustavo. Não teve demora no atendimento. Recomendo
Paciente
Paciente
Melhor dentista que eu já passei, atencioso demais da conta. Toda equipe esta de parabéns
Paciente
Paciente
Foi tudo perfeito , melhor do que imaginei, não tenho nada a reclamar gostei do atendimento desde o primeiro dia .fui indicada pela minha tia ,só que agradecer por tudo .Deus abençoe sempre
Paciente
Paciente
Até o momento, só gratidão pelo atendimento e atenção quanto à minha necessidade! Estou muito satisfeita!!
Paciente
Paciente
Excelente Proficional na área em que atua, muito atencioso e passa muita tranquilidade ao paciente. Consultório preparado para que o paciente se sinta confortável em sua primeira consulta. Muito obrigado Doutor!
Paciente
Paciente
Atendimento ótimo desde a recepção. Gostei muito
Paciente
Paciente
Atendimento maravilhoso desde recepção, o médico então simplesmente fantástico estou ímpar mega satisfeita.
Paciente
Paciente
Atendimento excelente!! Toda a equipe é atenciosa! Parabéns
Paciente
Paciente
Ótimo atendimento, atencioso, agilidade no tratamento, pontual, ótimos recurso utilizados no tratamento, pouco desconforto durante o procedimento
Paciente
Paciente
Metódico, cuidadoso e bastante técnico, excelente!
Paciente
Paciente
Ótimo atendimento e ótimo profissional Ambiente climatizador e todos atenciosos
Paciente
Paciente
Otimo profissional... Muito bom atendimento... Pontual...
Paciente
Paciente
Excelente atendimento, atenciosos, instruem o paciente durante o procedimento e após, gostei muito e indico.
Paciente
Paciente
Ótimo profissional , atendimento e qualidade! Recomendo.
Paciente
Paciente
Atendeu todas as minhas necessidades em tempo hábil,100% satisfeita profissional nota 10
Paciente
Paciente
O Dr. É muito atencioso, paciente e explica com detalhes e clareza cada procedimento que será realizado, excelente atendimento.
Paciente
Paciente
Pra mim foi bom ,sempre teve horário tratamento rápido
Paciente
Paciente
Excelente profissional! Ambiente muito agradável!
Paciente
Paciente
Foi tudo ótimo, desde o inicio no orçamento até a conclusão
Paciente
Paciente
Não tenho muito a falar iniciando o tratamento agora. Até o momento tudo ótimalo
Paciente
Paciente
Ótimo atendimento, bom profissionais indico a clínica.
Paciente
Paciente
Brilhante e eficiente como sempre. Ótima localização e bem aparelhada para o bom desempenho do tratamento. Parabéns a todos do consultório.
Paciente
Paciente
Bom atendimento Otimo proficional Otimo comunicação Recomendo para todos clientes
Paciente
Paciente
Muito pontual no atendimento, excelente profissional, pagamento parcelado em muitas vezes. Recomendo
Paciente
Paciente
Dr. Gustavo é um ótimo profissional! Super pontual, o ambiente é extremamente agradável o consultório é impecável em questão de higiene, ele explica os procedimentos e os passos. Tem uma postura formal e discreta,sua comunicação em relação ao procedimento é de fácil entendimento. O acolhimento na chegada da recepção e das pessoas que entram em contato para falar sobre o trabalho, avisar sobre as consultas é excelente. [Editado Doctoralia]
Paciente
Paciente
Para mim está tudo certo. Correspondeu às expectativas.
Paciente
Paciente
Nota 1000 atenciosos e profissionais qualificados.
Paciente
Paciente
Detalhista na explicação, equipamentos modernos e pontual.
Paciente
Paciente
Minha mãe está muito feliz com o atendimento. Está colocando proteses. Restaurado todos os dentes da parte inferior. Está sendo muito bem atendida. Procedimentos rápidos e eficazes.
Paciente
Paciente
Ótimo atendimento super recomendo: Bom atendimento, tratamento excelente .
Paciente
Paciente
Excelente tratamento com total trancão e explicação do preceento
Paciente
Paciente
Esta top , tudo perfeito , consultorio e pessoal educadas
Paciente
Paciente
Excelente profissional, muito dedicado e prestativo ninguém faz. Parabéns Dr. Gustavo.
Paciente
Paciente
Muito atencioso, explica muito bem os procedimentos. Ótimo atendimento. O local é muito agradável. Gostei muito!
Paciente
Paciente
Ótimo atendimento. Pontual, objetivo e eficaz. Todos os colaboradores da clínica são excepcionais muito profissionais, educados e prestativos. Super recomendo.
Paciente
Paciente
Excelente a qualidade do trabalho. Ótimo atendimento. Lugar agradável, aconchego e muito bom a recepção.
Paciente
Paciente
Dentista super-atencioso excelente dentista. .
Paciente
Paciente
Ótimo atendimento, bem detalhista em suas explicações, foi feita uma ótima avaliação. Sem dúvidas e o melhor lugar
Paciente
Paciente
Ótimo atendimento !! Eficácia e rapidez no tratamento pontualidade no horário está de parabéns toda a equipe!!!!
Paciente
Paciente
Foi muito bom o tratamento de canal e o dente feito em porcelana, resolveu o meu problema pois estava com muita dor. Obrigado Gustavo, Nota 10
Paciente
Paciente
Explica detalhadamente os procedimentos e mostrou-se paciente ao explicar e tirar possíveis dúvidas do tratamento.
Paciente
Paciente
Muito bom atendimento de todos no consultório, ambiente limpo e agradável, Dr. Gustavo muito eficiente e claro nas suas explicações!
Paciente
Paciente
Recepção e dentistas com atendimentos excelentes. Não demora, são muitos atenciosos e ambiente confortável.
Paciente
Paciente
Ótimo consultório, meu primeiro atendimento hj é estou feliz com meu atendimento, des da recepção até os Doutores ,estão todos de parabéns!!! A Doutora Carou um amor de pessoa bem simpática
Paciente
Paciente
Atendimento perfeito..com uma recepção maravilhosa.. Funcionários educadíssimos..( Fábio recepcionista) Doutor Gustavo e equipe prontamente aptos ao atendimento de excelência aos clientes,sem acepções de pessoas..eu super recomendo a clínica Espaço Prisma Odontologia
Paciente
Paciente
Excelente atendimento recomendo o profissional tratamento odontológico . Ótimo atendimento desde recepção
Paciente
Paciente
Ótimo profissional, local com boa harmonização, prestativo, explica bem ao paciente tudo o que vai fazer, tratamento está sendo satisfatório
Paciente
Paciente
Dr Gustavo devolveu minha auto estima através do meu sorriso. Excelente profissional. Super atencioso.
Paciente
Paciente
Ótimo atendimento desde a recepção. Já fui em muitas clínicas odontológico da cidade. Está é a única que indico.
Paciente
Paciente
Consultório com equipamentos modernos e confortável, presteza no atendimento, com retorno ágil da comunicação com o convênio odontológico
Paciente
Paciente
Excelente atendimento ,profissional atencioso pontual com horário e o lugar de ótima qualidade recomendaria para as pessoas
Paciente
Paciente
Ótimo especialista, equipamentos top de linha e um consultório muito agradável e bem climatizado. .
Paciente
Paciente
Dr é Pontual, atencioso e o melhor de tudo é detalista. Me sentindo em casa, fui muito bem acolhida. Simplesmente não troco mais por nada. Minha clinica de confiança.
Paciente
Paciente
Excelente profissional, pontual, não atrasa, fiquei muito satisfeita com o trabalho que ele fez e super recomendo...
Paciente
Paciente
Maravilhada com todo atendimento. Com o tratamento rápido E uma comunicação muito boa com os pacientes
Paciente
Paciente
Excelente profissional . Me deixou bem tranquila durante o procedimento , esclareceu todas as dúvidas
Paciente
Paciente
Ótimo. Super recomendo.................. ................,........,..................... ,............
Paciente
Paciente
Ótimo profissional, explicou bem o tratamento e foi muito atencioso! Pontual e o tratamento foi bem rápido.
Paciente
Paciente
Bom dia, A minha ida nesta clínica não foi por indicação, foi por uma pesquisa pela Internet, e fui lá, fui bem atendida o Dr. Gustavo foi atencioso e me explicou tudo como é todo o procedimento, gostei bastante, fiz o procedimento e não senti nada gracas a Deus estou ótima. Eles estão de parabéns, pelo tratamento, pela recepção em fim, Deus abençoe a todos
Paciente
Paciente
Muito boa, gostei da consulta. Dr Gustavo é bem atencioso e passou todo direcionamento necessário para o meu procedimento.
Paciente
Paciente
Excelente profissional, muito atencioso e em cada procedimento explica como será e o que possa vir a sentir. O que mais me encanta é essa preocupação com a minha pessoa, pois, trago na bagagem traumas de dentista de quando era criança.
Paciente
Paciente
Dr Gustavo é excelente, eu tinha muito medo de dentista,ele é ótimo passa bastante segurança... enfim ele é top das galáxias.
Paciente
Paciente
Excelente profissional , muito gente boa !!! Recomendo !!!! Consultório bem localizado, secretário atencioso, sempre muito prestativo, sai muito satisfeito.
Paciente
Paciente
Excelente profissional, comprometido, responsável... Super eficiente, com certeza indico seu trabalho a todos meus conhecidos.
Paciente
Paciente
Clinica muito boa,dentista muito bom,Dr.Gustavo e Dr Jaqueline esposa dele area infantil.‍.Super indico a Clinica Prisma.
Paciente
Paciente
Ótimo eu sou cliente a muito tempo .atendimento maravilhoso simpatia eu me sinto muito bem na clinica sem contar o café que o Fábio oferece bom d mais
Paciente
Paciente
Nível de profissionalismo excelente, preço justo. Realmente o melhor dentista de Rondonópolis e região. Recomendo
Paciente
Paciente
Profissional, suas explicações foram claras,valores acessíveis,pontual no horário, estética ótima.
Paciente
Paciente
Excelente Profissional, o Espaço Prisma juntamente com a Dra Carol completam todas as expectativas de um Consultório completo e moderno!!
Paciente
Paciente
Tenho pavor a agulhas e trauma. No entanto, foi me passado tranquilidade.Perfeito. Excelente atendimento.
Paciente
Paciente
Ótimo, tratamento rápido. Preço e condições de pagamento acessível. Equipamentos super modernos.
Paciente
Paciente
Atendimento eficaz e tranquilo, não senti nada de desconforto, super indico. Parabéns, voltarei em breve!!!
Paciente
Paciente
Fui por indicação e não me decepcionei,é muito bom qdo ficamos satisfeitos com o que decidimos fazer.
Paciente
Paciente
Recebi um ótimo atendimento neste consultório, desde a recepção até o dentista. O consultório é lindo, limpo e aconchegante. O dentista foi atencioso, esclarecedor, pontual e objetivo. O tratamento foi eficaz, veio de encontro com a necessidade. Estão tomando todos os cuidados com a pandemia. Super indico.
Paciente
Paciente
Adoramos o atendimento, Dr Gustavo um excelente profissional, muito atencioso, gentil e explica tudo com muita clareza.
Paciente
Paciente
Puper indico Doutor Gustavo Miguel, profissional excelente, atencioso, dedicado ao resultado final.fiquei super satisfeita com resultado,sem falar recepção também de parabéns,muito bom ir a um lugar onde pessoas recebe atenção desde a entrada até a saída......
Paciente
Paciente
Professional em tudo sem dor...cheguei com medo a primeira consulta mais Tudo foi certo na hora.....
Paciente
Paciente
Ótimo proficional Muito bom para explicar deixa claro as suas dúvidas e bem compatível com os valores do mercado ótimo
Paciente
Paciente
Dr. Gustavo Peripolli é muito atencioso e se preocupa com o bem estar do paciente. Excelente profissional.
Paciente
Paciente
Ótimos profissionais, hambiente agradável, os calaboradores são um amor, dr. Karol e dr°.Gustavo muito atenciosos.Resumindo toda nossa família trata com eles.
Paciente
Paciente
Ótimo. Dr. foi muito educado e atencioso na primeira consulta. Explicou todos os procedimentos de uma maneira fácil.
Paciente
Paciente
100% contente com meu tratamento,toda a equipe é super atenciosos e o medico faz exatamente o que voce esta a procura,super recomendo
Paciente
Paciente
Excelente profissional, estou muito feliz com o atendimento, explicações, ambiente, dedicação, somente agradecer toda a atenção desde a recepção ao Dr ...
Paciente
Paciente
Um excelente profissional Me atendeu muito bem estou muito satisfeita Explica bem sobre o tratamento
Paciente
Paciente
Não tenho oque reclamar, adorei a clinica sempre sou muito bem recebida. Adoro a atenção e empatia dos Doutores.
Paciente
Paciente
O Dr foi muito educado , atencioso e gentil! Desde a recepção até o atendimento com o dr, foi muito bom. Tem um ambiente de trabalho muito agradável
Paciente
Paciente
Atendimento excelente, desde a recepção até o médico, muito atenciosos, espaço aconchegante, higiênico e moderno. Fiquei muito satisfeita!
Paciente
Paciente
Excelente profissional. Realiza o procedimento com rapidez e segurança. Deixa o paciente tranquilo
Paciente
Paciente
Gostei muito da consulta, está de parabéns excelente. E pretendo sim indicar outras pessoas ao consultório. Fiquei muito satisfeita, vamos dar continuidade ao tratamento.
Paciente
Paciente
Excelente atendimento, pontual, atencioso, calmo, caprichoso. Tenho medo de dentista, foi bem tranquilo
Paciente
Paciente
Tudo excelente desde o momento da chegada até a saída! Atendimento na recepção nota 10 também muito atencioso e foi bem rápido
Paciente
Paciente
Muito eficiente no que faz finalizei tratamento concerteza voltarei outras vezes manutenção ambiente maravilhoso e profissional de excelência eu recomendo concerteza obrigado Dr.Gustavo pela dedicação a seus pacientes.
Paciente
Paciente
Atendimento personalizado, pontual, equipamentos modernos, profissional extremamente competente e atendimento personalizado. Recomendo
Paciente
Paciente
O profissional é competente e atencioso. Tem bom atendimento, bem educado, presta as informações corretamente.
Paciente
Paciente
Ótimo, excelente atendimento e aparente uma boa qualidade em seus serviços, estou satisfeito com o atendimento.
Paciente
Paciente
Excelente atendimento. Super recomendo uma equipe toda preparada para atender voce e toda sua família. Elvira vale
Paciente
Paciente
Tratamento finalizado, ótimo atendimento. Satisfeita com o tratamento. Atendimentos realizados no horário agendado.
Paciente
Paciente
Ótimo atendimento. Explica e demonstra todos aos procedimentos a serem realizados. Recomendo com certeza.
Paciente
Paciente
Ótimo atendimento, lugar incrível, me senti extremamente confortável, o doutor e paciente atencioso e educado.
Paciente
Paciente
Doutror muito atencioso, calmo. Excelente atendimento de todos, estão de parabéns. Fui bem atendida,por ser uma consulta.
Paciente
Paciente
Dr. Gustavo é muito pontual com o horário do paciente além de ser atencioso e carismático. Estou muuto satisfeita com o atendimento dele.
Paciente
Paciente
Atendimento muito bom, passa bastante confiança ao paciente , me senti muito confortável, muito abrigado pelo excelente trabalho prestado !
Paciente
Paciente
Otimo profissional,agilidade no procedimento, ficou perfeito, muito atencioso,super indico. Sai do consultório muito satisfeita.
Paciente
Paciente
Excelente profissional, cuidando da saúde bucal da minha família. Recomendo. Pontualidade e profissionalismo.
Paciente
Paciente
Ótima clínica, muito bem higienizada Profissional muito atencioso Tratamento personalizado Estou muito satisfeita.
Paciente
Paciente
Resolve o problema, é atencioso e delicado com o paciente! Possui uma assistente para auxiliar, o consultório é agradável e são muito educados.
Paciente
Paciente
Atendimento pontual. Muito atencioso durante o procedimento. Meu problema foi resolvido de maneira efetiva e rápida.
Paciente
Paciente
Gostei, fui muito bem atendida, por todos do consultório, tratamento diferenciado com uma tecnologia avançada e eficaz, super recomendo.
Paciente
Paciente
Gostei de ver que, ele mesmo sendo um profissional bem formal ele acaba trazendo no seu modo de conduzir o tratamento de forma a deixar o mais tranquilo possível o paciente.
Paciente
Paciente
Super indico atencioso profissional excelente funcionários super atenciosos educados e profissionais
Paciente
Paciente
Excelente atendimento, parabéns a todos desde a recepção, fiquei muito satisfeito com o trabalho realizado pelo Dr Gustavo e equipe. Fui atendido de imediato.
Paciente
Paciente
Atendimento e explicação exelente, atendimento pontual, localização muito boa, consultório nota dez, parabéns
Paciente
Paciente
Explica tudo muito bem sobre antes e pôs cirurgia. Disponibilidade de tempo para conversar sem pressa.
Paciente
Paciente
Excelente profissional, atendimento maravilhoso, atencioso e competente. Explicação com propriedade e clareza. Demonstração do antes e depois do tratamento para melhor satisfação da gente. Procura saber o que gente idealiza do tratamento.
Paciente
Paciente
Ótimo atendimento, explicativo e sempre perguntando se esta tudo ok, informa cada procedimento que irá fazer.
Paciente
Paciente
Ótimo profissional! Dedicadíssimo e coerente nas explicações. Com certeza recomendarei para outras pessoas!
Paciente
Paciente
Excelente profissional só tenho agradecer que continue assim parabéns ao Dr é sua excelentes e atenciosos funcionários
Paciente
Paciente
O consultório é bem organizado, são bem pontuais e o Dr. Gustavo realiza um exercente trabalho, recomendo.
Paciente
Paciente
Fui bem recepcionada gostei da consulta ótimo atendimento e boa explicação recomendaria a outras pessoas
Paciente
Paciente
Ótimo atendimento! Super atencioso nas recomendações, e nos cuidados pré e pós operatório. Recomendo!
Paciente
Paciente
Ótimo atendimento e trabalho maravilhoso o resultado do trabalho efetuado ficou perfeito daqui uns dias termino meu tratamento
Paciente
Paciente
Excelente profissional, super atencioso e carismático meu processo esta em andamento em breve retorno ao consultorio. Sucesso Dr.Gustavo
Paciente
Paciente
Gostei do atendimento em geral mas ainda temos o tratamento pois hj foi apenas uma consulta dai então poderei dizer mais sobre o tratamento
Paciente
Paciente
Amei o atendimento a explicação ao paciente concerteza farei meu tratamento com ele consultório muito limpo e ambiente agradável
Paciente
Paciente
Eu já tive muitas experiências traumáticas com dentista, tinha desistido de tudo, mas O Dr Gustavo foi tão atencioso, Me explicou tudo , me animou , que criei coragem, pra fazer o tratamento, ainda estamos caminhando , juntos
Paciente
Paciente
Excelente profissional! Resolveu meu caso com prontidão e excelência. Espero que nunca pare de atender pelo plano São francisco, já que somos carentes de profissionais tão competentes como Dr Gustavo.
Paciente
Paciente
Muito atencioso e pontual. Ótimo trabalho. Rapidez na execução do tratamento. Disponibilidade horário excelente
Paciente
Paciente
Espaço muito agradável, atendimento de qualidade, atencioso e educado durante as explicações. Satisfeita com o atendimento.
Paciente
Paciente
Gostei bastante do atendimento médico simpático e educado. Explica tudo com bastante clareza excelente.
Paciente
Paciente
Ótimo atendimento. Interesse evidente em tranquilizar e satisfazer o cliente quanto às informações necessárias e procedimentos além da boa atuação e profissionalismo.
Paciente
Paciente
Dr Muito atencioso explica tudo direitinho muito educado e simpático, um ótimoate atendimento excelente atendimento começando da recepção Parabens
Paciente
Paciente
Extremamente profissional, pontual e competente. Somos muito gratos pelos atendimentos prestados às nossa família.
Paciente
Paciente
Muito bom o atendimento, pontual e bem explanado a causa problema. Consultório bem estruturado e a recepção muito bem educada.
Paciente
Paciente
Ótimo atendimento, todos da cliente muito atenciosos, gentil e com uma ótima e excelente educação...Excelente pontualidade no atendimento.
Paciente
Paciente
Super atencioso, me tirou bem as dúvidas, Irei continuar o tratamento com certeza,superou minhas espectativas
Paciente
Paciente
Um excelente profissional. Tenho pânico de dentista, porém com ele me senti muito segura, tranquila. Ele explica passo a passo também todo o procedimento que está fazendo. Super atencioso.
Paciente
Paciente
Hoje foi apenas uma avaliação para iniciar o tratamento, mas bem atencioso o Dr. Gustavo M Peripolli
Paciente
Paciente
Muito bom eu recomendo e um excelente profissional o trabalho e perfeito e atende em um espaço excelente.
Paciente
Paciente
Excelente trabalho em todos os aspectos, nota mil, estou muito satisfeita, desde o atendimento da recepção, todos muito atenciosos.
Paciente
Paciente
Profissional e equipe de atendimento em geral excelente, muito satisfeita com o serviço prestado, retorno certo.
Paciente
Paciente
Foi uma consulta Boa. Ele me encaminhou ao um tratamento que terei maior esclarecimento a partir dos resultados dos exames. Indico esse profissional.
Paciente
Paciente
Excelente qualidade do serviço, pontualidade, equipamentos e materiais de primeira linha. Consultório de fácil acesso.
Paciente
Paciente
Ótimo atendimento, excelente profissional, atendimento no horário marcado, de fácil localização
Paciente
Paciente
Atendimento pontual, e excelente tratamento. Ótimo profissional! Ótima localização e recepção muito boa!
Paciente
Paciente
Bastante esclarecedor, estava com duvidas e foram sanadas..excelente profissional. Tirou minhas dúvidas, diagnosticou com precisão o problema em meu dente.
Paciente
Paciente
Ótimo atendimento, aborda bem, e não deixa a gente constrangida com problema dos dentes, soube encaminhar bem e resolver .
Paciente
Paciente
Excelente profissional, pontual, atencioso, lugar mto bem localizado, organizado. Toda a equipe está de parabéns!!!!
Paciente
Paciente
Entao como foi a minha primeira consulta com o Dr. Gustavo muito atencioso, tirou minhas dúvidas está superando minhas expectativas.
Paciente
Paciente
Gostei muito do tratamento dele com meu filho, muito educado, excelente profissional. Recomendo a todos
Paciente
Paciente
O atendimento foi ótimo. Atencioso e claro. O ambiente é limpo, organizado e acolhedor. Vou recomendar.
Paciente
Paciente
Atencioso e competente. Obrigada pelo seu atendimento. Recomendo Dr Gustavo e sua clínica, com certeza.
Paciente
Paciente
Excelente. Prima pelo bem estar dos pacientes, trabalho impecável. Recomendo este profissional e o consultório, por toda sua equipe.
Paciente
Paciente
Achei ótimo o espaço, a forma de trabalho, clínica limpa e organizada, atendimento super profissional.
Paciente
Paciente
Ele Explica super bem sobre o procedimento que será realizado e tira todas as dúvidas do paciente tiver
Paciente
Paciente
Excelente atendimento, da recepção ao paciente a consulta.
Paciente
Paciente
Profissional competente! Consegue fazer o atendimento com tranquilidade transmitindo segurança ao paciente!
Paciente
Paciente
Excelênte profissional, atencioso nos detalhes e na opinião do paciente. Trabalhar com uma equipe de colaboradores muito simpáticos .
Paciente
Paciente
Profissional muito cuidadoso. Excelente trabalho! Fui sem nenhuma indicação, confesso que um pouco preocupada, mas estou em muito boas mãos. Obrigada.
Paciente
Paciente
Ótimo atendimento, ambiente agradável, pontualidade, atencioso e qualidade no serviço prestado. Super recomendo.
Paciente
Paciente
fiz dois canal estou em tratamento ainda mais é uma médico atencioso um ótimo profissional super recomendo
Paciente
Paciente
Ótimo atendimento, tratamento de excelência e de qualidade, profissional competente, atualizado. Recomendo tratamento.
Paciente
Paciente
Muito bom o atendimento e um serviço de qualidade! Está de parabéns por prestar um excelente serviço.
Paciente
Paciente
Muito atencioso e simpático, esclareceu todas as nossas dúvidas, ambiente muito confortável e agradável!
Paciente
Paciente
Procurei o profissional por motivos estéticos e me surpreendi com a excelência no atendimento e os resultados alcançados! Volto com frequência e sempre recomendo
Paciente
Paciente
...

Quer agendar uma consulta?

Marcar uma visita Entre em contato